欢迎选择我们,上海恒远生物科技有限公司!免费服务热线:400-0899-208          防伪查询

语言:Eng

您当前的位置:
首页>
产品中心>
抗体>
多克隆抗体>
PHB Antibody

多克隆抗体

PHB Antibody

  恒远生物抗体平台现已拥有4万多种抗体(含单抗和多抗),包括人类常用抗体,模式生物类相关抗体、小分子抗体、二抗、标签抗体及内参抗体等。并以每年4000种的速度在持续增长。

  恒远生物拥有专业的质控团队,配备先进实验仪器,现已成功地建立了ChIP平台,因此我们的抗体不仅能提供Biotin、FITC、HRP等标记,大部分抗体都能进行ELISA、WB、IHC、IF、IP、ChIP等应用验证。

  我们致力于为所有用户提供高亲和力、高特异性的优质抗体,欢迎来电咨询。

PHB Antibody

 
  • 货号:
    HYK-200229
  • 规格:
     
  • 图片:
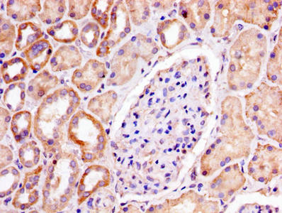
    • IHC image of CSB-PA017885LA01HU diluted at 1:300 and staining in paraffin-embedded human kidney tissue performed on a Leica BondTM system. After dewaxing and hydration, antigen retrieval was mediated by high pressure in a citrate buffer (pH 6.0). Section was blocked with 10% normal goat serum 30min at RT. Then primary antibody (1% BSA) was incubated at 4°C overnight. The primary is detected by a biotinylated secondary antibody and visualized using an HRP conjugated SP system.

产品详情

  • 产品名称:
    Rabbit anti-Homo sapiens (Human) PHB Polyclonal antibody
  • Uniprot No.:
    P35232
  • 基因名:
    PHB
  • 别名:
    Epididymis luminal protein 215 antibody; Epididymis secretory sperm binding protein Li 54e antibody; HEL 215 antibody; HEL S 54e antibody; PHB antibody; PHB_HUMAN antibody; PHB1 antibody; Prohibitin antibody
  • 宿主:
    Rabbit
  • 反应种属:
    Human
  • 免疫原:
    Recombinant Human Prohibitin protein (1-272AA)
  • 免疫原种属:
    Homo sapiens (Human)
  • 标记方式:
    Non-conjugated
  • 克隆类型:
    Polyclonal
  • 抗体亚型:
    IgG
  • 纯化方式:
    >95%, Protein G purified
  • 浓度:
    It differs from different batches. Please contact us to confirm it.
  • 保存缓冲液:
    Preservative: 0.03% Proclin 300
    Constituents: 50% Glycerol, 0.01M PBS, PH 7.4
  • 产品提供形式:
    Liquid
  • 应用范围:
    ELISA, WB, IHC, IP
  • 推荐稀释比:
    Application Recommended Dilution
    WB 1:500-1:5000
    IHC 1:200-1:500
    IP 1:200-1:2000
  • Protocols:
    ELISA Protocol
    Western Blotting (WB) Protocol
    Immunohistochemistry (IHC) Protocol
    Immunoprecipitation (IP) Protocol
  • 储存条件:
    Upon receipt, store at -20°C or -80°C. Avoid repeated freeze.
  • 货期:
    Basically, we can dispatch the products out in 1-3 working days after receiving your orders. Delivery time maybe differs from different purchasing way or location, please kindly consult your local distributors for specific delivery time.


FTSJ1 Antibody

TBCC Antibody

AMBP Antibody

CRHR1 Antibody

INMT Antibody

MRPL19 Antibody


在线询价

  • *
  • *
  • *
  • *
  • *
  • *

相关产品

AMBP Antibody

AMBP Antibody

恒远生物抗体平台现已拥有4万多种抗体(含单抗和多抗),包括人类常用抗体,模式生物类相关抗体、小分子抗体、二抗、标签抗体及内参抗体等。并以每年4000种的速度在持续增长。

查看详细
PYGB Antibody

PYGB Antibody

恒远生物抗体平台现已拥有4万多种抗体(含单抗和多抗),包括人类常用抗体,模式生物类相关抗体、小分子抗体、二抗、标签抗体及内参抗体等。并以每年4000种的速度在持续增长。

查看详细
WFDC2 Antibody

WFDC2 Antibody

恒远生物抗体平台现已拥有4万多种抗体(含单抗和多抗),包括人类常用抗体,模式生物类相关抗体、小分子抗体、二抗、标签抗体及内参抗体等。并以每年4000种的速度在持续增长。

查看详细

请输入搜索关键字

确定